2022 Articles & Case Studies
Explore More…
News Archive 2026 | News Archive 2025 | News Archive 2024 | News Archive 2023 | News Archive 2022 | News Archive 2021 | News Archive 2020
— DECEMBER 2022 —
How to Long to Leave Your Pets Home Alone
Even the most well-adjusted dogs may become distressed if they are left home alone for too long. Here are some general recommendations for how long you can leave your dog home alone, based on age.
>> Read More
Be Aware of Christmas Dangers for Pets
Every Christmas brings potential hazards for your pets from chewing bones to eating grapes, raisins, sultanas, and chocolate – all of which are hazardous or potentially even fatal for your pets. Here’s a reminder of some of these festive hazards to keep your pet safe this Christmas.
>> Read More
Coquet Vets Christmas Fair 2022
We are excited to be holding a Christmas Fair this year at Coquet Vets. It will be on Saturday 10th December from 12.30pm-4.30pm. Come along for some festive fun!
>> Read More
— NOVEMBER 2022 —
Reducing Cat Stress During Veterinary Visits
At Coquet Vets, we want to be a cat friendly environment and keep our feline friends happy. Here's what we are doing to reduce potential cat stress during veterinary visits.
>> Read More
Seasonal Activities at Coquet Vets
Get into the festive spirit with some seasonal activities at Coquet Vets. We're doing a charity hamper, a remembrance tree for your beloved pets who have passed away, and a Christmas Fair in December.
>> Read More
Why do dogs get blood in their poo?
Noticing blood in your dog’s poo can be alarming, but blood in your dog’s stool can be caused by a wide range of different things. Here’s what to look out for and some of the possible causes.
>> Read More
How often should I bathe my dog?
What dog doesn’t love splashing through a puddle or rolling around in mud? Yet, unless they have got themselves particularly messy, our dogs don’t need a proper bath all that often. Here's some advice on when and how best to bathe your dog.
>> Read More
Book your ‘Fireworks and Pets Consultation’ today!
To help you manage your pet during fireworks season, Coquet Vets is once again running a ‘Fireworks and Pets Consultation’ promotion. This consultation is just £25 and is available from now until the 31st December 2022.
>> Find out more (This promotion has ended)
— OCTOBER 2022 —
Dog Breed – Cocker Spaniel
Cocker Spaniels are very active dogs and are known for being really sociable, making them great pets. However, like so many other purebred dogs, they are at risk of certain problems and conditions relating to their breed. Here’s what to look out for.
>> Read More
Heart Disease in Dogs
Heart disease is a common problem in dogs and, as in people, can be caused by a variety of underlying conditions. Despite the many types of heart diseases affecting dogs, most share common signs that can alert owners to a problem.
>> Read More
Case Study: Fractured Canine Tooth in a Cat
Unfortunately, Whiskers the cat was involved in a road traffic accident and managed to fracture his left upper canine tooth in the process. Here’s what we did to help him feel better.
>> Read More
— SEPTEMBER 2022 —
Team Update - Meet Emma
Meet Emma, our newest member of the Coquet Vet's team, and our other new member of the Coquet Vet's pet team, Wolf!
>> Read More
Planning for Those Unexpected Costs
We all hope that you never have to use us, apart from in a preventative situation. However, you may be faced with unexpected costs if your pet unexpectedly needs to see a vet. Here are a few tips to help you plan for the costs of owning a pet.
>> Read More
September is Neutering Month
For the month of September, you can get 10% off the full neutering price at Coquet Vets, with an extra 5% off if you’re in our Coquet Pet Club (15% off in total). (Terms and conditions apply.)
Case Study: Foreign Body Swelling
This is a short case study about Lady, who came to see us with a small swelling that had appeared after she had managed to wound herself the week before.
>> Read More
— AUGUST 2022 —
Dog Car Safety Tips
Planning to take a road trip with your dog? Rule 57 of the Highway Code states that you must “make sure dogs or other animals are suitably restrained” in a vehicle. Here are a few tips to help keep you and your dog safe on your next car journey.
>> Read More
Hyperthyroidism in Cats
Hyperthyroidism is one of the most common hormonal diseases in cats. The overproduction of thyroxine (T4) hormone results in faster metabolism and can stimulate the central nervous system leading to a variety of clinical signs. Here’s what to look out for.
>> Read More
Puppy Farms
Unfortunately, buying a new puppy isn't always as easy as it seems. Clients often find out too late that they have bought a puppy from a 'puppy farm' or 'backstreet' breeder. Here are a few things to check and look out for when buying a new puppy.
>> Read More
— JULY 2022 —
Taking Your Pets Abroad
Planning to take your pet for a summer holiday overseas? As of January 2021, Great Britain issued pet passports are no longer valid for European travel, and instead you require an Animal Health Certificate. Here's what you need to know.
>> Read More
Case Study: Tino's Suspected Ear Infection
In March 2022, we saw a dog called Tino who had a massive swelling to the right side of his face and neck. Here's what we found and what our Vet did to treat him.
>> Read More
Bee Stings
Bee stings can produce different reactions in pets, ranging from temporary pain and discomfort to a severe allergic reaction. In summertime one of the common triggers of anaphylaxis is insect stings and bites. Here are the symptoms to look out for.
>> Read More
National Don’t Step on a Bee Day 2022
Did you know that the 10th of July is National Don’t Step on a Bee Day? Following the recent press surrounding the Bee Crisis‚ this year is all about protecting our precious bees. Here’s how you can get involved.
>> Read More
Summer Dangers for Pets
Summer is the perfect time to get together with friends and family and enjoy some outdoor time with your pets. However, the summertime months can also bring lots of dangers for your pets, from hot barbecues to heat stroke and ticks. Here’s how to keep your pet safe this summer.
>> Read More
— JUNE 2022 —
Warkworth Show 2022
This year, we are very excited to present the Dog Show at the 150th exhibition Warkworth show held in the grounds of Warkworth Castle. The event is taking place on Saturday 20th August 2022.
>> Read More
Aural Haematoma in Pets
An aural haematoma is a build-up of blood between the skin and cartilage of the ear, which can be due to trauma, ear infection, or itchy skin. Here are some of the symptoms to look out for in your pet.
>> Read More
Canine Blood Donors
We are looking to extend our canine blood donor list. One donation can save the lives of up to four dogs. Find out more about getting your dog added to the list to supply blood to dogs in need.
>> Read More
Rabbit Awareness Week 2022
This year’s Rabbit Awareness Week is Monday 27th June 2022 to Friday 1st July 2022. This year is all about where our rabbits live. Here's a few things to consider for housing your rabbit.
>> Read more
— MAY 2022 —
What To Do with Injured or Sick Wild Animals
If you come across an injured or sick wild animal, it can be hard to know what best to do. Here is some handy advice should you find yourself in this situation.
>> Read more
Home Changes for Animals with Arthritis
There are so many different options for animals who suffer with arthritis. In this short article, we look at simple changes that you can make at home to help your pet live a more comfortable and happier life.
>> Read More
Case Study: Rosie & Ben - Pet Osteoarthritis
For senior pets, osteoarthritis can be one of the long-term effects of knee surgery, as well as part of a natural ageing process. In this case study, we meet Rosie and her younger brother, Ben, who were both found to have osteoarthritis and needed some treatment.
>> Read More
Obesity and Osteoarthritis in Pets
Arthritis is a common condition affecting middle aged to senior pets. Excessive weight in pets can also greatly contribute to an abnormal load on their joints. Tackling obesity is vital in the management of osteoarthritis, which is why Coquet Vets runs free weight clinics for your pets.
>> Read More
— APRIL 2022 —
Danni’s Fundraiser for Training Trip to Africa
Coquet Vet's Student Veterinary Nurse, Danni, has the exciting opportunity to travel to Africa next year for an academic trip for training and research. She is now actively fundraising to make this possible. Here's how you can support her.
>> Read More
Case Study: Jasper’s Swollen & Inflamed Tongue
Jasper came to us as an emergency appointment. He was fine in the morning, then early afternoon his behaviour quickly changed. He was unsettled, pacing, hyper salivating, and drooling. Here’s what our vet found out when examining Jasper.
>> Read More
Case Study: Demodex & Cheyletiella
This case study is about a 12 week old puppy called Buddy who had become intensely itchy and had started to scratch and damage his skin. Here’s what our vet found out when examining Buddy and how we helped him to get better.
>> Read More
Do Dogs and Cats Get Dementia?
Cognitive Dysfunction Syndrome, or CDS, is more common in dogs and cats than people realise. It is estimated that up to 14% of our senior pets suffer from CDS. Here are the key symptoms to look out for and some management tools and medications that we can use to help.
>> Read More
National Pet Month – April 2022
National Pet Month (NPM) celebrates and raises awareness of responsible pet ownership. Here are a few things to think about when deciding to get a pet.
>> Read More
— MARCH 2022 —
Event: Pet Arthritis Evening - 24th May 2022
Coquet Vets will be holding a 'Pet Arthritis Evening' on Tuesday 24th May 2022 at 5pm. We will discuss what arthritis is, signs of arthritis, and how to help older pets to improve their well-being. Find out more and register your place for free.
>> Read More
Case Study: Tooth Root Abscess
Here is a short case study about a 9-year-old male entire poodle who presented to us with a tooth root abscess. Here’s what we did to diagnose and treat the tooth root abscess.
>> Read More
Case Study: Ruby’s Deciduous Teeth
Here is a short case study about a 7-month-old Pomeranian called Ruby who still had some of her baby teeth (deciduous teeth), causing overcrowding and tartar build up. It was, therefore, recommended that these deciduous teeth are extracted.
>> Read More
Why We Are Passionate About Your Pet’s Dental Health
Dental disease is one of the most common diseases that we see in small animal practice. Animals will continue to eat, play and act normal, even if they are in pain, which is why having regular check-ups is so important. Here's why we are so passionate about your pet's dental health.
>> Read More
We Are Celebrating Our 2nd Year Anniversary Today!
A massive thank you to all that have supported us over the past two years, we certainly all feel proud to be part of the Coquet Vet's team. We hope you enjoy our short video to celebrate our 2nd birthday and some of the wonderful pets that we have met since we opened.
>> Read More
— FEBRUARY 2022 —
March is Dental Month at Coquet Vets
Our Vet team has a genuine interest in pet dental health, which is why March is Dental Month at Coquet Vets. Throughout the month of March, we are offering 10% off all dental treatments.
>> Read More
Our Puppy Parties Are Back!
Our puppy parties are an ideal opportunity to socialise your puppy and let them play with other puppies of a similar age in a safe environment. Our parties are always on a Tuesday evening at 6pm. Here’s the latest dates.
Article update: As of September 2022, our puppy parties are now every Wednesday at 6pm. We will no longer host these on a Tuesday.
>> Read More
Case Study: Cryptorchid Castration
Casper is a lovely little kitten that came to us for neutering. After admission, it was found that Casper had just one fully descended testicle. Here’s what we did for Casper.
>> Read More
Case Study: Chocolate Poisoning
A few weeks ago, a Staffordshire Bull Terrier called Mal was brought to us as an emergency after eating 500 grams of chocolate, which is poisonous for dogs. Here's what we did and what to look out for if your dog accidentally eats chocolate.
>> Read more
— JANUARY 2022 —
Microchipping Cats
The UK Government recently announcement that microchipping cats was going to be made compulsory. We held a promotion (in February 2022) where you could have your cat microchipped for £8.00. Here’s why microchipping your cat is important to do.
>> Read more
Canine First Aid Evening on 21st April 2022
As an acknowledgement of National Pet Month in April, we will be hosting a canine first aid evening at Coquet Vets. This will take place at our Clinic on Thursday 21st April 2022 at 6 pm. Places will be on a first come basis, so book your place now and don’t miss out!
>> Read More
[This event is now fully booked. We will announce any cancellations on our Facebook page here.]
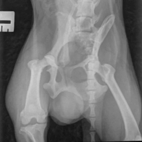
Case Study: Toy Poodle Hip Dislocation
This case study looks at how we identified and fixed a suspected hip dislocation in a little toy poodle called Oscar.
>> Read More
What To Do If Your Dog Or Cat Has Vomiting And Diarrhoea
Vomiting and diarrhoea is a very common presentation in dogs and cats that we see every day at the vets. Here’s our advice on what to do if your dog or cat has vomiting and diarrhoea.
>> Read more
